Love Your Smile
Orthodontics
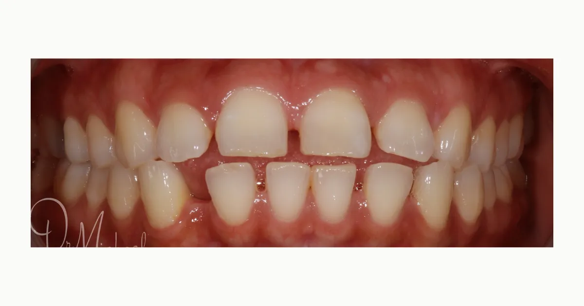
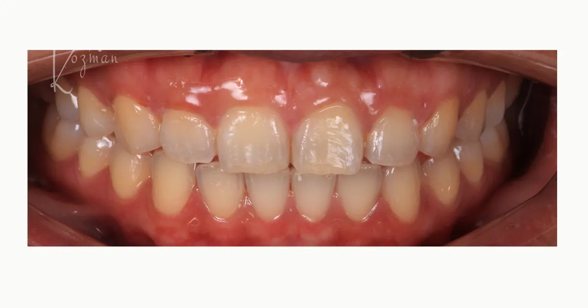
Are you struggling the following?
Obvious misalignment
Gaps or spaces
Crossbites, overbites & underbites
Overcrowding
Protruding teeth
Schedule Your Free Consultation
Types of Braces
Our simple & pain-free process.

Traditional metal braces are the most common type of braces used today. They are smaller and more comfortable than ever before and constructed of high-grade space age metal alloys.

Clear aligners use a series of invisible, removable, and comfortable aligners to straighten your teeth. No one can tell you are wearing those aligners because they are invisible! The aligners are removable so you are not limited in what you can eat and drink during treatment. Plus... brushing and flossing are less of a hassle.

Ceramic braces are made of clear materials and are therefore less visible on your teeth than metal braces. For this reason, ceramic braces are often used on teenage and adult patients who have aesthetic concerns.

At Supercare Dental & Cosmetics, we gladly accept and work with a wide range of health funds. Rest assured that your dental care needs will be supported and covered by your preferred health fund, ensuring a seamless and affordable experience for our valued clients.
Pain-free braces without the anxiousness.
At Supercare Dental & Cosmetics, we gladly accept and work with a wide range of health funds. Rest assured that your dental care needs will be supported and covered by your preferred health fund, ensuring a seamless and affordable experience for our valued clients.





SCHEDULE NOW
At Supercare Dental, we specialise in crafting perfect smiles for a lifetime of happiness. Contact us today for a Free Consultation!
REQUEST YOUR FREE CONSULTATION